کامپوزیت ونیر راهنمای جامع برای ماندگاری بیشتر نکات قبل و بعد از نصب

آیا به دنبال داشتن لبخندی زیبا و جذاب هستید؟ #کامپوزیت ونیر میتواند راه حلی سریع و موثر برای دستیابی به این هدف باشد. این روش درمانی، با پوشاندن نواقص دندانها، زیبایی و اعتماد به نفس را به شما بازمیگرداند. اما برای اینکه این زیبایی ماندگار باشد، رعایت نکاتی قبل و بعد از نصب ضروری است. این مقاله، یک راهنمای جامع است که به شما کمک میکند تا با آمادگی کامل برای این درمان اقدام کنید و پس از آن، به درستی از کامپوزیت ونیر خود مراقبت نمایید.
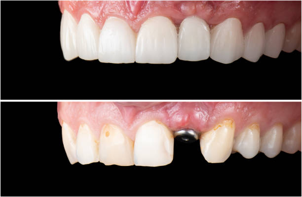
کامپوزیت ونیرها لایههای نازکی از مواد همرنگ دندان هستند که روی سطح دندانها قرار میگیرند تا ظاهر آنها را بهبود بخشند. این روش درمانی، یک گزینه محبوب برای اصلاح دندانهای شکسته، لکهدار، بدشکل یا دارای فاصله است. با این حال، موفقیت و ماندگاری کامپوزیت ونیر به عوامل مختلفی بستگی دارد که مهمترین آنها، مراقبت صحیح و اصولی است.
آمادگی قبل از نصب کامپوزیت ونیر مشاوره و انتظارات واقع بینانه
![]()
قبل از هر اقدامی، یک جلسه مشاوره کامل با دندانپزشک خود داشته باشید. در این جلسه، انتظارات خود را به طور واضح بیان کنید و از دندانپزشک بپرسید که آیا کامپوزیت ونیر برای شما مناسب است یا خیر. دندانپزشک، وضعیت دندانهای شما را بررسی میکند و بر اساس آن، بهترین گزینه درمانی را به شما پیشنهاد میدهد.
انتظارات واقع بینانه داشته باشید. کامپوزیت ونیر میتواند ظاهر دندانهای شما را به طور چشمگیری بهبود بخشد، اما نمیتواند تمام مشکلات دندانی را حل کند. اگر مشکلات جدیتری مانند پوسیدگی یا بیماری لثه دارید، ابتدا باید آنها را درمان کنید و سپس برای نصب کامپوزیت ونیر اقدام نمایید. کامپوزیت ونیر یک روش ترمیمی زیبایی است که نیازمند نگهداری درست است و ماندگاری آن بستگی به رعایت بهداشت دهان و دندان و مراجعه منظم به دندانپزشک دارد.
در طول جلسه مشاوره، در مورد مراحل نصب کامپوزیت ونیر، هزینه درمان و مراقبتهای بعد از آن سوال کنید. هر چه اطلاعات بیشتری داشته باشید، بهتر میتوانید برای این درمان آماده شوید. انتخاب یک دندانپزشک مجرب و متخصص در زمینه کامپوزیت ونیر، نقش بسیار مهمی در موفقیت این درمان دارد. مطمئن شوید که دندانپزشک شما، تجربه کافی در این زمینه را دارد و از مواد با کیفیت برای نصب کامپوزیت ونیر استفاده میکند.
آیا به دنبال یک مرکز دندانپزشکی با تجربه بالا در جراحیهای دهان و دندان هستید؟ مطب ما با کادری مجرب، خدمات جراحی دندان را با بالاترین استانداردهای ایمنی ارائه میدهد.
✅ تجربه چندین ساله در جراحیهای پیچیده
✅ استفاده از تکنیکهای پیشرفته جراحی
✅ مراقبتهای کامل قبل و بعد از جراحی
برای مشاوره جراحی دندان با متخصصین ما تماس بگیرید: ۰۹۰۲۱۳۸۰۰۱۹
مراحل نصب کامپوزیت ونیر آنچه در مطب دندانپزشکی رخ میدهد

نصب #کامپوزیت ونیر معمولاً در یک یا دو جلسه انجام میشود. در جلسه اول، دندانپزشک سطح دندانهای شما را کمی تراش میدهد تا فضای کافی برای قرارگیری کامپوزیت ونیر ایجاد شود. این تراش، بسیار ظریف است و معمولاً نیازی به بیحسی ندارد.
پس از تراش دندانها، دندانپزشک یک قالب از دندانهای شما تهیه میکند و آن را به لابراتوار دندانپزشکی ارسال میکند. در لابراتوار، کامپوزیت ونیرها بر اساس قالب تهیه شده، ساخته میشوند. در جلسه دوم، دندانپزشک کامپوزیت ونیرها را روی دندانهای شما قرار میدهد و با استفاده از یک چسب مخصوص، آنها را محکم میکند.
پس از نصب کامپوزیت ونیر، دندانپزشک آنها را پولیش میکند تا سطحی صاف و براق داشته باشند. این کار، علاوه بر زیبایی، به جلوگیری از تجمع پلاک و جرم روی کامپوزیت ونیرها نیز کمک میکند. کل فرآیند نصب کامپوزیت ونیر بدون درد است و شما میتوانید بلافاصله پس از آن، به فعالیتهای روزمره خود بازگردید.
در جدول زیر، اطلاعات مربوط به انواع مختلف کامپوزیت ونیر و ویژگیهای هر کدام ارائه شده است:
| نوع کامپوزیت ونیر | مزایا | معایب |
|---|---|---|
| کامپوزیت ونیر مستقیم | هزینه کمتر، نصب سریعتر | ماندگاری کمتر، احتمال لکهپذیری بیشتر |
| کامپوزیت ونیر غیرمستقیم | ماندگاری بیشتر، زیبایی بیشتر | هزینه بیشتر، نیاز به دو جلسه مراجعه |
بهداشت دهان و دندان پایه و اساس ماندگاری کامپوزیت ونیر

رعایت بهداشت دهان و دندان، مهمترین عامل در #ماندگاری کامپوزیت ونیر است. دندانهای خود را حداقل دو بار در روز با مسواک و خمیر دندان حاوی فلوراید مسواک بزنید. از نخ دندان برای تمیز کردن بین دندانها استفاده کنید و به طور مرتب به دندانپزشک مراجعه نمایید.
استفاده از دهانشویه حاوی فلوراید نیز میتواند به تقویت دندانها و جلوگیری از پوسیدگی کمک کند. از مصرف غذاها و نوشیدنیهای رنگی مانند قهوه، چای و نوشابه خودداری کنید، زیرا این مواد میتوانند باعث لکهدار شدن کامپوزیت ونیر شوند. سیگار کشیدن نیز میتواند باعث تغییر رنگ کامپوزیت ونیر و کاهش طول عمر آن شود.
اگر عادت به دندان قروچه دارید، حتماً از محافظ دندان استفاده کنید تا از آسیب دیدن کامپوزیت ونیر جلوگیری شود. دندان قروچه، فشار زیادی به دندانها وارد میکند و میتواند باعث شکستن یا ترک خوردن کامپوزیت ونیر شود.
مراقبت های غذایی پس از نصب کامپوزیت ونیر چه بخوریم چه نخوریم

پس از نصب #کامپوزیت ونیر، باید در مصرف غذاها و نوشیدنیها دقت بیشتری داشته باشید. از خوردن غذاهای سفت و چسبنده مانند ته دیگ، گز و آب نبات خودداری کنید، زیرا این مواد میتوانند باعث شکستن یا جدا شدن کامپوزیت ونیر شوند.
غذاهای اسیدی مانند مرکبات و نوشابههای گازدار نیز میتوانند به کامپوزیت ونیر آسیب برسانند. بهتر است مصرف این مواد را محدود کنید و پس از مصرف، دهان خود را با آب بشویید. از گاز زدن به مواد غذایی سفت مانند سیب و هویج خودداری کنید و آنها را به قطعات کوچکتر تقسیم کنید.
به طور کلی، بهتر است از یک رژیم غذایی متعادل و سالم پیروی کنید و از مصرف بیش از حد غذاهای شیرین و اسیدی خودداری نمایید. مصرف آب کافی نیز برای حفظ سلامت دهان و دندان بسیار مهم است.
آیا به دنبال راه حلی برای بینظمی دندانهای خود بدون دیده شدن بریس هستید؟ مطب ما با ارتودنسی نامرئی، لبخندی زیبا و مرتب را به آسانی برای شما به ارمغان میآورد.
✅ پلاکهای شفاف و غیرقابل مشاهده
✅ راحتی بینظیر در طول دوره درمان
✅ نتایجی زیبا و پایدار
برای داشتن لبخندی ایدهآل، با ما تماس بگیرید: ۰۹۰۲۱۳۸۰۰۱۹
مراجعه منظم به دندانپزشک برای بررسی و نگهداری کامپوزیت ونیر

مراجعه منظم به دندانپزشک، یکی از مهمترین عوامل در #حفظ و نگهداری کامپوزیت ونیر است. دندانپزشک میتواند در هر بار معاینه، وضعیت کامپوزیت ونیرها را بررسی کند و در صورت وجود هرگونه مشکل، آن را برطرف نماید.
دندانپزشک همچنین میتواند کامپوزیت ونیرها را پولیش کند تا سطحی صاف و براق داشته باشند. این کار، علاوه بر زیبایی، به جلوگیری از تجمع پلاک و جرم روی کامپوزیت ونیرها نیز کمک میکند. مراجعه منظم به دندانپزشک، به شما کمک میکند تا از بروز مشکلات جدیتر جلوگیری کنید و طول عمر کامپوزیت ونیر خود را افزایش دهید. توصیه میشود که هر شش ماه یک بار برای معاینه به دندانپزشک مراجعه نمایید.
رفع مشکلات احتمالی کامپوزیت ونیر شکستگی، لکه و تغییر رنگ

مانند هر روش درمانی دیگری، #کامپوزیت ونیر نیز ممکن است با برخی مشکلات احتمالی همراه باشد. شکستگی، لکه و تغییر رنگ، از جمله شایعترین مشکلاتی هستند که ممکن است برای کامپوزیت ونیر رخ دهند.
در صورت بروز شکستگی، باید بلافاصله به دندانپزشک مراجعه کنید تا کامپوزیت ونیر ترمیم یا تعویض شود. لکهدار شدن کامپوزیت ونیر، معمولاً به دلیل مصرف غذاها و نوشیدنیهای رنگی ایجاد میشود. در این صورت، دندانپزشک میتواند با پولیش کردن کامپوزیت ونیر، لکهها را از بین ببرد.
تغییر رنگ کامپوزیت ونیر، معمولاً به دلیل استفاده از مواد نامرغوب یا عدم رعایت بهداشت دهان و دندان ایجاد میشود. در این صورت، ممکن است نیاز به تعویض کامپوزیت ونیر باشد. در جدول زیر، علل شایع مشکلات کامپوزیت ونیر و راهکارهای رفع آنها ارائه شده است:
| مشکل | علت احتمالی | راهکار |
|---|---|---|
| شکستگی | خوردن غذاهای سفت، دندان قروچه | ترمیم یا تعویض کامپوزیت ونیر، استفاده از محافظ دندان |
| لکهدار شدن | مصرف غذاها و نوشیدنیهای رنگی | پولیش کامپوزیت ونیر، کاهش مصرف مواد رنگی |
| تغییر رنگ | استفاده از مواد نامرغوب، عدم رعایت بهداشت دهان و دندان | تعویض کامپوزیت ونیر، رعایت بهداشت دهان و دندان |
عوامل موثر بر طول عمر کامپوزیت ونیر

طول عمر #کامپوزیت ونیر به عوامل مختلفی بستگی دارد که مهمترین آنها، رعایت بهداشت دهان و دندان، مراقبتهای غذایی و مراجعه منظم به دندانپزشک است. استفاده از مواد با کیفیت نیز نقش مهمی در افزایش طول عمر کامپوزیت ونیر دارد. دندانپزشک شما میتواند با انتخاب بهترین مواد و استفاده از تکنیکهای صحیح، به افزایش طول عمر کامپوزیت ونیر شما کمک کند. ژنتیک و عادات فردی نیز بر روی طول عمر کامپوزیت ونیر تاثیر دارند.
به طور کلی، کامپوزیت ونیر میتواند بین 5 تا 10 سال دوام داشته باشد. با این حال، با رعایت نکات ذکر شده، میتوانید طول عمر آن را افزایش دهید و از لبخند زیبای خود برای سالهای طولانی لذت ببرید.
هزینه کامپوزیت ونیر و راه های کاهش آن

هزینه #کامپوزیت ونیر به عوامل مختلفی بستگی دارد، از جمله نوع مواد مورد استفاده، تعداد دندانهایی که نیاز به ونیر دارند و تجربه دندانپزشک. به طور کلی، کامپوزیت ونیر یک روش درمانی نسبتاً گران است. با این حال، راههایی برای کاهش هزینه آن وجود دارد.
برخی از دندانپزشکان، طرحهای پرداخت اقساطی را ارائه میدهند که میتواند به شما در مدیریت هزینههای درمان کمک کند. همچنین، میتوانید با مقایسه قیمتها در بین دندانپزشکان مختلف، بهترین گزینه را انتخاب کنید. به خاطر داشته باشید که کیفیت مواد و تجربه دندانپزشک، از اهمیت بیشتری نسبت به قیمت برخوردار هستند. انتخاب دندانپزشک ارزان قیمت اما بی تجربه می تواند منجر به نتایج نامطلوب و هزینه های بیشتر در آینده شود.
آیا به دنبال اصلاح طرح لبخند بدون استفاده از براکتهای فلزی هستید؟ مطب ما با ارتودنسی نامرئی، لبخندی زیبا و پنهان را برای شما به ارمغان میآورد.
✅ ارتودنسی نامرئی برای بزرگسالان و نوجوانان
✅ مشاوره رایگان برای بررسی وضعیت دندانها
برای لبخندی پنهان و زیبا در مطب ما، با ما تماس بگیرید: ۰۹۰۲۱۳۸۰۰۱۹
کامپوزیت ونیر یا لمینت کدام برای شما مناسب تر است

کامپوزیت ونیر و لمینت، هر دو روشهای درمانی زیبایی هستند که برای بهبود ظاهر دندانها استفاده میشوند. با این حال، تفاوتهای مهمی بین این دو روش وجود دارد. #لمینتها، لایههای نازکی از جنس سرامیک هستند که در لابراتوار ساخته میشوند و سپس روی دندانها چسبانده میشوند. کامپوزیت ونیرها، از مواد رزینی همرنگ دندان ساخته میشوند و میتوانند مستقیماً در مطب دندانپزشکی روی دندانها قرار گیرند.
لمینتها، معمولاً گرانتر از کامپوزیت ونیرها هستند و نیاز به دو جلسه مراجعه به دندانپزشک دارند. کامپوزیت ونیرها، ارزانتر هستند و میتوانند در یک جلسه نصب شوند. لمینتها، ماندگاری بیشتری نسبت به کامپوزیت ونیرها دارند و کمتر لکهدار میشوند. کامپوزیت ونیرها، به مراقبت بیشتری نیاز دارند و ممکن است به مرور زمان لکهدار شوند. انتخاب بین کامپوزیت ونیر و لمینت، به عوامل مختلفی بستگی دارد، از جمله بودجه، انتظارات و وضعیت دندانهای شما. دندانپزشک شما میتواند با بررسی وضعیت دندانهای شما، بهترین گزینه را به شما پیشنهاد دهد.
| سوال | پاسخ |
|---|---|
| آیا نصب کامپوزیت ونیر درد دارد؟ | خیر، نصب کامپوزیت ونیر معمولاً بدون درد است. |
| کامپوزیت ونیر چقدر دوام دارد؟ | کامپوزیت ونیر میتواند بین 5 تا 10 سال دوام داشته باشد. |
| آیا کامپوزیت ونیر قابل ترمیم است؟ | بله، کامپوزیت ونیر در صورت شکستگی یا آسیب دیدگی قابل ترمیم است. |
| آیا کامپوزیت ونیر باعث پوسیدگی دندان میشود؟ | خیر، کامپوزیت ونیر به خودی خود باعث پوسیدگی دندان نمیشود، اما رعایت بهداشت دهان و دندان برای جلوگیری از پوسیدگی ضروری است. |
| چه غذاهایی برای کامپوزیت ونیر مضر هستند؟ | غذاهای سفت، چسبنده و اسیدی برای کامپوزیت ونیر مضر هستند. |
| آیا کامپوزیت ونیر نیاز به مراقبت خاصی دارد؟ | بله، کامپوزیت ونیر نیاز به رعایت بهداشت دهان و دندان و مراجعه منظم به دندانپزشک دارد. |
| آیا کامپوزیت ونیر تغییر رنگ میدهد؟ | کامپوزیت ونیر ممکن است به مرور زمان کمی تغییر رنگ دهد، اما با پولیش کردن میتوان آن را به حالت اولیه بازگرداند. |
| هزینه کامپوزیت ونیر چقدر است؟ | هزینه کامپوزیت ونیر به عوامل مختلفی بستگی دارد، اما معمولاً از لمینت ارزانتر است. |
| آیا کامپوزیت ونیر برای همه افراد مناسب است؟ | کامپوزیت ونیر برای افرادی که دندانهای سالمی دارند و به دنبال بهبود ظاهر دندانهای خود هستند، مناسب است. |
| چگونه میتوانم از کامپوزیت ونیر خود مراقبت کنم؟ | با رعایت بهداشت دهان و دندان، مراقبتهای غذایی و مراجعه منظم به دندانپزشک میتوانید از کامپوزیت ونیر خود مراقبت کنید. |
و دیگر خدمات مجموعه مطب ما در حوزه دندانپزشکی
• ایمپلنتهای دندانی برای بیماران با بیماریهای خودایمنی (با نظر پزشک)
• جراحی برداشتن اپولیس لثه
• تشخیص و درمان سایشهای اکلوزالی
• درمان دردهای فانتوم پس از کشیدن دندان
• لمینیت برای پوشاندن ساییدگی دندان
و بیش از ده ها خدمات دیگر در زمینه زیبایی دندان
دندانپزشکی | ایمپلنت |لمینیت|عصب کشی
آیا به دنبال بهبود روابط عمومی خود هستید؟ مطب ما با اطلاعات رسانهای، به شما در مدیریت تصویر شرکت کمک میکند. ✅ مدیریت روابط عمومی
✉️ info@matabma.com
📱 ۰۹۰۲۱۳۸۰۰۱۹
📞 ۰۲۱-۸۸۵۷۷۸۵۷
📍 تهران، شهرک غرب، بلوار شریفی، کوچه توحید چهارم، پلاک ۶۲، طبقه ۱

بدون نظر