ایمپلنت سوئیسی با روکشایمپلنت سوئیسی با روکش ایمپلنت سوئیسی با روکش یکی از پیشرفتهترین ... ادامه مطلب
جراحی سینوس اُپن (هر نیم فک) + GBRجراحی سینوس اُپن، که به عنوان لیفت سینوس نیز شناخته میشود، ... ادامه مطلب
جراحی سینوس کلوز (هر نیم فک) + GBRجرمگیری و بروساژ یکی از رایجترین و مؤثرترین روشهای پیشگیرانه و ... ادامه مطلب
جرم گیری و بروساژ دو فکجرمگیری و بروساژ یکی از رایجترین و مؤثرترین روشهای پیشگیرانه و ... ادامه مطلب
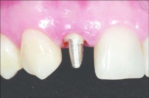
روکش ایمپلنت زیرکونیا + اباتمنتروکش ایمپلنت زیرکونیا به همراه اباتمنت یکی از پیشرفتهترین روشهای بازسازی ... ادامه مطلب
روکش ایمپلنت عادی + اباتمنتروکش ایمپلنت عادی یکی از روشهای استاندارد و پرکاربرد در دندانپزشکی ... ادامه مطلب
عکس دندان PA (هر دندان)عکس دندان PA (Periapical) نوعی رادیوگرافی دندان است که تصویر کاملی ... ادامه مطلب
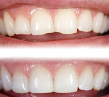
ونیر کامپوزیت آلمانی (هر واحد)ونیر کامپوزیت آلمانی یکی از روشهای پرطرفدار در دندانپزشکی زیبایی است ... ادامه مطلب
ونیر کامپوزیت سوئیسی (هر واحد)ونیر کامپوزیت سوئیسی یکی از پیشرفتهترین روشهای دندانپزشکی زیبایی است که ... ادامه مطلب
ونیر کامپوزیت کره ای (هر واحد)ونیر کامپوزیت کرهای یکی از روشهای پیشرفته در دندانپزشکی زیبایی است ... ادامه مطلب