راهنمای جامع انتخاب بهترین رنگ برای ونیر کامپوزیت دندان

انتخاب رنگ مناسب برای #ونیر کامپوزیت دندان یک تصمیم حیاتی است که تاثیر بسزایی در زیبایی و طبیعی جلوه کردن طرح لبخند شما دارد. این راهنما به شما کمک می کند تا با در نظر گرفتن فاکتورهای کلیدی، بهترین انتخاب را برای ونیرهای کامپوزیتی خود داشته باشید. ونیر کامپوزیت دندان، لایه ای نازک از مواد همرنگ دندان است که برای پوشاندن عیوب دندانی مانند شکستگی، ترک خوردگی، تغییر رنگ یا فاصله بین دندان ها استفاده می شود. این روش درمانی، یک راه حل سریع و نسبتاً مقرون به صرفه برای بهبود ظاهر دندان ها و افزایش اعتماد به نفس است.
در این راهنما، به بررسی جنبه های مختلف انتخاب رنگ مناسب برای ونیر کامپوزیت دندان می پردازیم، از جمله شناخت رنگ های دندان، در نظر گرفتن رنگ پوست و لب، و اهمیت نورپردازی در مطب دندانپزشکی. همچنین، نکاتی را برای برقراری ارتباط موثر با دندانپزشک خود ارائه می دهیم تا بتوانید به نتیجه دلخواه خود دست یابید.
درک طیف رنگی دندان و اصطلاحات تخصصی

قبل از هر چیز، لازم است با طیف رنگی دندان ها و اصطلاحات تخصصی مورد استفاده در دندانپزشکی آشنا شوید. دندان ها دارای رنگ های مختلفی هستند که بر اساس سه ویژگی اصلی دسته بندی می شوند hue, chroma, and value: Hue رنگ اصلی دندان را مشخص می کند (زرد، قهوه ای، قرمز). Chroma میزان غلظت یا شدت رنگ را نشان می دهد. Value میزان روشنایی یا تیرگی رنگ را تعیین می کند.
دندانپزشکان معمولاً از راهنمای رنگی VITA برای انتخاب رنگ مناسب برای ونیر کامپوزیت دندان استفاده می کنند. این راهنما، طیف وسیعی از رنگ های دندان را در قالب نمونه های کوچک ارائه می دهد که به دندانپزشک کمک می کند تا رنگی را انتخاب کند که به بهترین شکل با رنگ طبیعی دندان های شما مطابقت داشته باشد. درک این اصطلاحات و آشنایی با راهنمای رنگی VITA به شما کمک می کند تا در فرآیند انتخاب رنگ ونیر کامپوزیت دندان، مشارکت فعال تری داشته باشید.
درک طیف رنگی دندان، به متخصص ونیر کامپوزیت دندان کمک می کند تا انتخاب بهتری داشته باشد.
آیا از تغییر رنگ پرکردگیهای قدیمی دندانهایتان ناراضی هستید؟ مطب ما با تعویض پرکردگیهای قدیمی و ترمیمهای جدید، زیبایی و سلامت دندانهای شما را بازمیگرداند.
✅ جایگزینی آمالگام با مواد کامپوزیت همرنگ دندان
✅ بهبود زیبایی و مقاومت دندان
✅ ترمیم با دقت و ظرافت بالا
برای ترمیم و زیبایی دندانهایتان همین الان اقدام کنید: ۰۹۰۲۱۳۸۰۰۱۹
عوامل موثر در انتخاب رنگ ونیر کامپوزیت دندان

عوامل متعددی در انتخاب رنگ مناسب برای ونیر کامپوزیت دندان نقش دارند. در نظر گرفتن این عوامل، به شما و دندانپزشکتان کمک می کند تا به نتیجه ای طبیعی و زیبا دست یابید:
رنگ پوست و لب: رنگ پوست و لب، تاثیر بسزایی در نحوه جلوه کردن رنگ دندان ها دارند. به طور کلی، افرادی که پوست روشن دارند، می توانند از رنگ های روشن تری برای ونیر کامپوزیت دندان استفاده کنند، در حالی که افراد با پوست تیره تر، بهتر است رنگ های طبیعی تری را انتخاب کنند. همچنین، رنگ لب ها نیز باید در نظر گرفته شود تا هماهنگی مناسبی بین لبخند و صورت ایجاد شود.
رنگ دندان های مجاور: رنگ ونیر کامپوزیت دندان باید با رنگ دندان های مجاور مطابقت داشته باشد تا یکدست و طبیعی به نظر برسد. دندانپزشک شما، رنگ دندان های مجاور را با دقت بررسی می کند و رنگی را انتخاب می کند که با آن ها هماهنگ باشد.
شخصیت و سلیقه فردی: در نهایت، انتخاب رنگ ونیر کامپوزیت دندان، یک تصمیم شخصی است. شما باید رنگی را انتخاب کنید که از آن راضی باشید و به شما اعتماد به نفس بدهد. دندانپزشک شما، نظرات و خواسته های شما را در نظر می گیرد و به شما کمک می کند تا رنگی را انتخاب کنید که با شخصیت و سلیقه شما مطابقت داشته باشد.
| عامل | توضیحات |
|---|---|
| رنگ پوست | افراد با پوست روشن می توانند از رنگ های روشن تر استفاده کنند. |
| رنگ لب | باید با رنگ دندان ها هماهنگ باشد. |
| رنگ دندان های مجاور | باید با رنگ ونیر کامپوزیت دندان مطابقت داشته باشد. |
| شخصیت و سلیقه فردی | انتخاب نهایی باید با سلیقه شما هماهنگ باشد. |
اهمیت نورپردازی در انتخاب رنگ ونیر کامپوزیت دندان

نورپردازی در مطب دندانپزشکی، تاثیر بسزایی در نحوه درک رنگ دندان ها دارد. نورهای مختلف، می توانند رنگ دندان ها را به شکل های متفاوتی نشان دهند. به عنوان مثال، نور فلورسنت، رنگ دندان ها را روشن تر و نور رشته ای، آن ها را زردتر نشان می دهد.
برای انتخاب رنگ مناسب برای ونیر کامپوزیت دندان، بهتر است در شرایط نوری مختلف، رنگ دندان ها را بررسی کنید. دندانپزشک شما، معمولاً از نورهای استاندارد و خنثی برای این کار استفاده می کند تا رنگ واقعی دندان ها را به درستی تشخیص دهد. همچنین، ممکن است از شما بخواهد که در نور طبیعی نیز رنگ دندان های خود را بررسی کنید تا مطمئن شوید که رنگ انتخاب شده، در شرایط مختلف نوری، طبیعی و زیبا به نظر می رسد. به خاطر داشته باشید که ونیر کامپوزیت دندان، قرار است مدت زیادی در دهان شما باشد؛ بنابراین دقت در انتخاب رنگ از اهمیت بالایی برخوردار است.
نکاتی برای برقراری ارتباط موثر با دندانپزشک

برقراری ارتباط موثر با دندانپزشک، نقش مهمی در دستیابی به نتیجه دلخواه از درمان ونیر کامپوزیت دندان دارد. در اینجا، چند نکته برای برقراری ارتباط موثر با دندانپزشک ارائه می شود:
خواسته های خود را به طور واضح بیان کنید: قبل از شروع درمان، خواسته های خود را به طور واضح و دقیق با دندانپزشک خود در میان بگذارید. توضیح دهید که چه انتظاراتی از نتیجه درمان دارید و چه رنگی را برای ونیر کامپوزیت دندان خود ترجیح می دهید.
سوال بپرسید: اگر در مورد هر یک از مراحل درمان یا انتخاب رنگ ونیر کامپوزیت دندان سوالی دارید، حتماً از دندانپزشک خود بپرسید. دندانپزشک شما، با کمال میل به سوالات شما پاسخ خواهد داد و شما را راهنمایی خواهد کرد.
عکس نشان دهید: اگر تصویری از لبخند مورد علاقه خود دارید، آن را به دندانپزشک خود نشان دهید. این کار، به دندانپزشک شما کمک می کند تا بهتر درک کند که شما چه نوع لبخندی را می خواهید.
بازخورد بدهید: در طول درمان، به دندانپزشک خود بازخورد بدهید. اگر از رنگ یا شکل ونیر کامپوزیت دندان راضی نیستید، به دندانپزشک خود اطلاع دهید تا تغییرات لازم را اعمال کند. ونیر کامپوزیت دندان تاثیر به سزایی در زیبایی دندان دارد.
ارتباط موثر با دندانپزشک باعث نتیجه بهتری در درمان میشود
آیا از تجربه دندانپزشکی در محیطهای شلوغ و پر استرس خسته شدهاید؟ مطب ما محیطی آرام، مدرن و مجهز را برای راحتی و آرامش شما فراهم آورده است.
✅ فضای آرام و دلنشین
✅ تجهیزات به روز و استریل
✅ پرسنل دلسوز و حرفهای
با مطب ما، تجربهای لذتبخش از دندانپزشکی داشته باشید! ۰۹۰۲۱۳۸۰۰۱۹
نگهداری و مراقبت از ونیر کامپوزیت دندان

بعد از انجام ونیر کامپوزیت دندان، مراقبت صحیح از آن ها، نقش مهمی در افزایش طول عمر و حفظ زیبایی آن ها دارد. در اینجا، چند نکته برای نگهداری و مراقبت از ونیر کامپوزیت دندان ارائه می شود:
بهداشت دهان و دندان را رعایت کنید: به طور منظم دندان های خود را مسواک بزنید و از نخ دندان استفاده کنید. این کار، به جلوگیری از تجمع پلاک و جرم بر روی ونیر کامپوزیت دندان و حفظ سلامت لثه ها کمک می کند. استفاده از دهانشویه های ضدعفونی کننده نیز می تواند مفید باشد.
از خوردن غذاهای سفت و چسبنده خودداری کنید: خوردن غذاهای سفت و چسبنده، می تواند به ونیر کامپوزیت دندان آسیب برساند. از خوردن این نوع غذاها خودداری کنید یا آن ها را با احتیاط مصرف کنید.
از استعمال دخانیات خودداری کنید: استعمال دخانیات، باعث تغییر رنگ ونیر کامپوزیت دندان و کاهش زیبایی آن ها می شود. از استعمال دخانیات خودداری کنید تا ونیر کامپوزیت دندان شما برای مدت طولانی تری زیبا و سفید بماند.
به طور منظم به دندانپزشک مراجعه کنید: برای بررسی وضعیت ونیر کامپوزیت دندان و انجام جرم گیری، به طور منظم به دندانپزشک مراجعه کنید. دندانپزشک شما، می تواند هرگونه مشکل را در مراحل اولیه تشخیص دهد و از بروز مشکلات جدی تر جلوگیری کند. ونیر کامپوزیت دندان نیازمند مراقبت است.
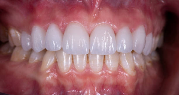
روند انتخاب رنگ ونیر کامپوزیت دندان در مطب دندانپزشکی
![]()
در مطب دندانپزشکی، دندانپزشک شما با استفاده از ابزارها و تکنیک های مختلف، رنگ مناسب برای ونیر کامپوزیت دندان را انتخاب می کند. روند انتخاب رنگ، معمولاً شامل مراحل زیر است:
بررسی رنگ دندان ها: دندانپزشک شما، رنگ دندان های شما را با استفاده از راهنمای رنگی VITA بررسی می کند. او به سه ویژگی اصلی رنگ دندان ها (hue, chroma, and value) توجه می کند و رنگی را انتخاب می کند که به بهترین شکل با رنگ طبیعی دندان های شما مطابقت داشته باشد.
عکس برداری: دندانپزشک شما، ممکن است از دندان های شما عکس بگیرد تا رنگ آن ها را با دقت بیشتری بررسی کند. عکس برداری، به دندانپزشک کمک می کند تا رنگ های ظریف و جزئیات را نیز در نظر بگیرد.
انجام تست: دندانپزشک شما، ممکن است از شما بخواهد که چند نمونه از رنگ های مختلف را بر روی دندان های خود امتحان کنید تا بتوانید رنگی را انتخاب کنید که بیشتر از همه دوست دارید. این کار، به شما کمک می کند تا ببینید که هر رنگ، چگونه بر روی لبخند شما جلوه می کند.
| مرحله | توضیحات |
|---|---|
| بررسی رنگ دندان ها | استفاده از راهنمای رنگی VITA |
| عکس برداری | ثبت تصاویر برای بررسی دقیق تر رنگ |
| انجام تست | امتحان کردن رنگ های مختلف بر روی دندان ها |
تفاوت بین ونیر کامپوزیت دندان و لمینت دندان در انتخاب رنگ

اگرچه هر دو روش ونیر کامپوزیت دندان و لمینت دندان برای بهبود ظاهر دندان ها استفاده می شوند، تفاوت هایی در انتخاب رنگ بین این دو روش وجود دارد. ونیر کامپوزیت دندان معمولاً به صورت مستقیم در مطب دندانپزشکی روی دندان ها قرار می گیرد و دندانپزشک می تواند در همان جلسه، رنگ آن را تنظیم کند. در مقابل، لمینت دندان در لابراتوار ساخته می شود و قبل از چسباندن به دندان ها، امکان تغییر رنگ آن وجود ندارد.
به همین دلیل، انتخاب رنگ برای لمینت دندان، اهمیت بیشتری دارد و باید با دقت بیشتری انجام شود. در هر دو روش، هدف نهایی، دستیابی به یک لبخند زیبا و طبیعی است، اما رویکردها و محدودیت های مربوط به انتخاب رنگ، ممکن است متفاوت باشد. ونیر کامپوزیت دندان یک روش عالی است.
هزینه ونیر کامپوزیت دندان و عوامل موثر بر آن

هزینه ونیر کامپوزیت دندان، بسته به عوامل مختلفی مانند تعداد دندان های مورد نیاز، مهارت دندانپزشک، و نوع مواد مورد استفاده، متفاوت است. به طور کلی، ونیر کامپوزیت دندان، یک گزینه مقرون به صرفه تر نسبت به لمینت دندان محسوب می شود.
برای اطلاع دقیق از هزینه ونیر کامپوزیت دندان، بهتر است با چند دندانپزشک مشورت کنید و قیمت های آن ها را مقایسه کنید. همچنین، می توانید از دندانپزشک خود در مورد گزینه های پرداخت اقساطی سوال کنید. سرمایه گذاری در ونیر کامپوزیت دندان، سرمایه گذاری در زیبایی و اعتماد به نفس شما است.
انتخاب طرح لبخند زیبا می تواند به شما کمک کند.
آیا دوست دارید دندانهایی سفیدتر و درخشانتر داشته باشید اما نگران حساسیت دندانهایتان هستید؟ مطب ما بلیچینگ را با روشهای محافظهکارانه و کاهش حساسیت انجام میدهد.
✅ استفاده از ژلهای بلیچینگ با کیفیت بالا
✅ حداقل حساسیت پس از درمان
✅ دستیابی به سفیدی مطلوب بدون عوارض
برای سفید کردن دندانهایتان با خیالی آسوده همین امروز اقدام کنید: ۰۹۰۲۱۳۸۰۰۱۹
سوالات متداول در مورد انتخاب رنگ ونیر کامپوزیت دندان

در این بخش، به برخی از سوالات متداول در مورد انتخاب رنگ ونیر کامپوزیت دندان پاسخ می دهیم:
آیا می توانم رنگ ونیر کامپوزیت دندان خود را بعد از انجام درمان تغییر دهم؟ بله، اما این کار معمولاً توصیه نمی شود. تغییر رنگ ونیر کامپوزیت دندان، ممکن است به ساختار دندان آسیب برساند و هزینه بر باشد.
بهترین رنگ برای ونیر کامپوزیت دندان چیست؟ بهترین رنگ، رنگی است که با رنگ طبیعی دندان های شما مطابقت داشته باشد و به شما اعتماد به نفس بدهد.
آیا ونیر کامپوزیت دندان تغییر رنگ می دهد؟ ونیر کامپوزیت دندان، ممکن است به مرور زمان و در اثر مصرف غذاها و نوشیدنی های رنگی، کمی تغییر رنگ دهد. با رعایت بهداشت دهان و دندان و مراجعه منظم به دندانپزشک، می توانید از تغییر رنگ آن جلوگیری کنید.
با این راهنما، امیدواریم اطلاعات کافی در مورد انتخاب رنگ مناسب برای ونیر کامپوزیت دندان به دست آورده باشید. با مشورت با دندانپزشک خود، می توانید به لبخندی زیبا و طبیعی دست یابید. ونیر کامپوزیت دندان یک راه حل عالی برای زیبایی است.
| پرسش | پاسخ |
|---|---|
| آیا ونیر کامپوزیت دندان درد دارد؟ | خیر، این روش معمولاً بدون درد است. |
| ونیر کامپوزیت دندان چقدر دوام دارد؟ | با مراقبت صحیح، می تواند 5 تا 10 سال دوام داشته باشد. |
| آیا ونیر کامپوزیت دندان به دندان های طبیعی آسیب می رساند؟ | خیر، اگر به درستی انجام شود، آسیبی به دندان های طبیعی نمی رساند. |
| چه کسانی می توانند از ونیر کامپوزیت دندان استفاده کنند؟ | افرادی که دندان هایشان دچار شکستگی، تغییر رنگ یا فاصله است. |
| آیا ونیر کامپوزیت دندان نیاز به مراقبت خاصی دارد؟ | بله، رعایت بهداشت دهان و دندان و مراجعه منظم به دندانپزشک ضروری است. |
| آیا می توانم بعد از ونیر کامپوزیت دندان، غذاهای رنگی بخورم؟ | بهتر است از مصرف زیاد غذاها و نوشیدنی های رنگی خودداری کنید. |
| هزینه ونیر کامپوزیت دندان چقدر است؟ | هزینه آن بسته به عوامل مختلف متفاوت است. |
| چگونه می توانم بهترین دندانپزشک را برای ونیر کامپوزیت دندان پیدا کنم؟ | از دوستان و آشنایان خود پرس و جو کنید و نظرات آنلاین را بررسی کنید. |
| آیا ونیر کامپوزیت دندان قابل ترمیم است؟ | بله، در صورت آسیب دیدگی، قابل ترمیم است. |
| آیا ونیر کامپوزیت دندان برای همه مناسب است؟ | خیر، دندانپزشک باید بررسی کند که آیا شما گزینه مناسبی برای این روش هستید یا خیر. |
و دیگر خدمات مجموعه مطب ما در حوزه دندانپزشکی
• ایمپلنتهای دندانی با پروتکلهای استئوتوم
• جراحی برداشتن بافتهای نرم اضافی دهان
• روکشهای IPS e.max برای زیبایی طبیعی
• درمان دندانهای با تحلیل خارجی ریشه
• لمینیت برای تصحیح اندازه نامتقارن دندانها
و بیش از ده ها خدمات دیگر در زمینه زیبایی دندان
دندانپزشکی | ایمپلنت |لمینیت|عصب کشی
آیا میخواهید از اطلاعات برای تصمیمات بهتر استفاده کنید؟
مطب ما با اطلاعات داشبوردهای مدیریتی، دید کاملی از کسب و کارتان میدهد.
✅ نظارت و کنترل آسان
✉️ info@matabma.com
📱 ۰۹۰۲۱۳۸۰۰۱۹
📞 ۰۲۱-۸۸۵۷۷۸۵۷
📍 تهران، شهرک غرب، بلوار شریفی، کوچه توحید چهارم، پلاک ۶۲، طبقه ۱


بدون نظر