همه چیز درباره ونیر کامپوزیت دندان راهنمای جامع

در این راهنمای جامع، به بررسی کامل #ونیر_کامپوزیت_دندان میپردازیم. اگر به دنبال داشتن لبخندی زیبا و بینقص هستید، ونیر کامپوزیت دندان میتواند یک گزینه عالی برای شما باشد. این روش ترمیمی و زیبایی، با استفاده از مواد همرنگ دندان، نواقص ظاهری دندانها را پوشانده و لبخندی جذابتر به شما هدیه میدهد. در این مقاله، به تمامی سوالات شما در مورد ونیر کامپوزیت دندان پاسخ خواهیم داد و شما را با مزایا، معایب، مراحل انجام، مراقبتها و هزینههای آن آشنا خواهیم کرد.
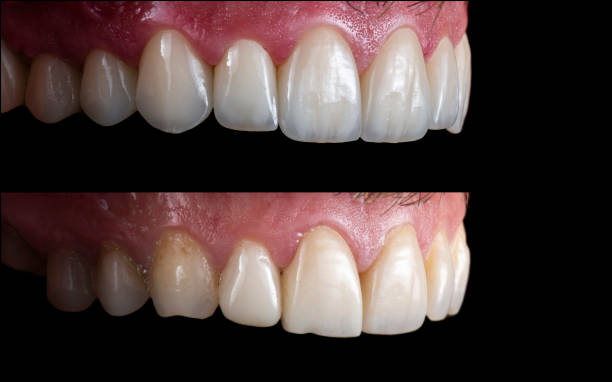
ونیر کامپوزیت دندان یک روش ترمیمی زیبایی است که در آن لایهای نازک از مواد کامپوزیتی همرنگ دندان بر روی سطح دندانها قرار میگیرد. این لایه میتواند نواقصی مانند شکستگی، ترک خوردگی، لکهها، فاصله بین دندانها و بدشکلیهای جزئی را پوشانده و ظاهر دندانها را بهبود بخشد. ونیر کامپوزیت دندان به دلیل سرعت انجام، هزینه مناسب و قابلیت ترمیم آسان، به یکی از محبوبترین روشهای زیبایی دندان تبدیل شده است.
ونیر کامپوزیت دندان چیست و چگونه کار میکند؟

ونیر کامپوزیت دندان لایهای نازک از مواد کامپوزیتی است که به سطح جلویی دندانها متصل میشود. این ونیرها به منظور بهبود ظاهر دندانها از نظر رنگ، شکل، اندازه یا طول استفاده میشوند. کامپوزیت، مادهای خمیری شکل است که پس از قرارگیری روی دندان، با استفاده از نور خاصی سفت میشود و به دندان متصل میگردد. این فرآیند به دندانپزشک اجازه میدهد تا ونیر را به طور دقیق شکل دهد و با رنگ دندانهای طبیعی بیمار تطابق دهد.
نحوه کار ونیر کامپوزیت دندان به این صورت است که ابتدا دندانپزشک سطح دندان را برای ایجاد چسبندگی بهتر، آماده میکند. سپس، لایههای نازک کامپوزیت روی دندان قرار داده میشوند و با استفاده از نور مخصوص سفت میشوند. دندانپزشک در این مرحله، ونیرها را شکل میدهد و آنها را صیقل میدهد تا ظاهری طبیعی و زیبا داشته باشند. ونیر کامپوزیت دندان میتواند بسیاری از مشکلات ظاهری دندانها را برطرف کند و لبخندی جذابتر به شما هدیه دهد.
یکی از مزایای اصلی ونیر کامپوزیت دندان، قابلیت ترمیم آن است. اگر ونیر کامپوزیت دندان شما دچار آسیب شود، دندانپزشک میتواند آن را به راحتی ترمیم کند. این در حالی است که در روشهای دیگر زیبایی دندان مانند لمینت سرامیکی، ترمیم ونیرها ممکن نیست و نیاز به تعویض آنها وجود دارد.
همچنین، ونیر کامپوزیت دندان نسبت به لمینت سرامیکی، نیاز به تراش کمتری از دندان دارد. این موضوع باعث میشود که ساختار طبیعی دندانها بیشتر حفظ شود و احتمال بروز حساسیت دندانی کاهش یابد.
آیا میخواهید با یک ایمپلنت سریع، جای خالی دندانهایتان را پر کنید؟ مطب ما خدمات ایمپلنت یک روزه را با بالاترین استانداردها ارائه میدهد.
✅ کاهش دوره درمان
✅ بازسازی سریع لبخند
✅ استفاده از تکنولوژیهای روز دنیا
برای یک ایمپلنت فوری با ما تماس بگیرید! ۰۹۰۲۱۳۸۰۰۱۹
مزایای استفاده از ونیر کامپوزیت دندان

استفاده از ونیر کامپوزیت دندان مزایای متعددی دارد که آن را به یک گزینه جذاب برای بهبود ظاهر دندانها تبدیل کرده است. برخی از مهمترین مزایا عبارتند از
- هزینه مناسب ونیر کامپوزیت دندان معمولاً از لمینت سرامیکی ارزانتر است.
- سرعت انجام این روش در یک جلسه قابل انجام است و نیاز به لابراتوار ندارد.
- قابلیت ترمیم در صورت آسیب دیدن، ونیر کامپوزیت دندان به راحتی قابل ترمیم است.
- حفظ ساختار دندان نیاز به تراش کمتری از دندان دارد.
- ظاهر طبیعی میتوان رنگ و شکل ونیرها را به گونهای تنظیم کرد که با دندانهای طبیعی بیمار مطابقت داشته باشند.
ونیر کامپوزیت دندان میتواند برای اصلاح مشکلات زیر استفاده شود
- تغییر رنگ دندانها ونیرها میتوانند لکهها و تغییر رنگهای دائمی دندانها را پوشش دهند.
- اصلاح شکل دندانها ونیرها میتوانند دندانهای بدشکل، شکسته یا ترک خورده را اصلاح کنند.
- بستن فاصله بین دندانها ونیرها میتوانند فاصلههای کوچک بین دندانها را پر کنند.
- افزایش طول دندانها ونیرها میتوانند طول دندانهای کوتاه را افزایش دهند.
در جدول زیر، مقایسهای بین ونیر کامپوزیت و لمینت سرامیکی ارائه شده است
| ویژگی | ونیر کامپوزیت | لمینت سرامیکی |
|---|---|---|
| هزینه | کمتر | بیشتر |
| سرعت انجام | یک جلسه | چند جلسه |
| قابلیت ترمیم | دارد | ندارد |
| نیاز به تراش | کمتر | بیشتر |
| ماندگاری | 5-7 سال | 10-15 سال |
معایب و محدودیتهای ونیر کامپوزیت دندان

اگرچه ونیر کامپوزیت دندان مزایای بسیاری دارد، اما معایب و محدودیتهایی نیز دارد که باید قبل از تصمیمگیری در نظر گرفته شوند.
- ماندگاری کمتر ونیر کامپوزیت دندان معمولاً ماندگاری کمتری نسبت به لمینت سرامیکی دارد و نیاز به ترمیم یا تعویض در فواصل زمانی کوتاهتر دارد.
- تغییر رنگ کامپوزیت ممکن است در طول زمان تغییر رنگ دهد و نیاز به پولیش داشته باشد.
- احتمال شکستگی ونیرهای کامپوزیتی نسبت به لمینتهای سرامیکی شکنندهتر هستند و ممکن است در اثر ضربه یا فشار زیاد، دچار شکستگی شوند.
- محدودیت در اصلاح مشکلات شدید ونیر کامپوزیت دندان برای اصلاح مشکلات شدید دندانی مانند بدشکلیهای بسیار زیاد یا نامرتبیهای شدید، مناسب نیست.
علاوه بر این، ونیر کامپوزیت دندان برای افرادی که بهداشت دهان و دندان ضعیفی دارند یا عادت به دندان قروچه دارند، توصیه نمیشود. این افراد بیشتر در معرض خطر آسیب دیدن ونیرها قرار دارند.
برای اطمینان از اینکه ونیر کامپوزیت دندان برای شما مناسب است، باید با دندانپزشک خود مشورت کنید. دندانپزشک پس از بررسی وضعیت دندانهای شما و در نظر گرفتن انتظارات شما، بهترین گزینه درمانی را به شما پیشنهاد خواهد کرد.
مراحل انجام ونیر کامپوزیت دندان

مراحل انجام ونیر کامپوزیت دندان معمولاً به شرح زیر است
- معاینه و مشاوره در این مرحله، دندانپزشک دندانهای شما را معاینه میکند و با شما در مورد اهداف و انتظاراتتان از درمان صحبت میکند.
- آمادهسازی دندان در صورت نیاز، دندانپزشک مقدار کمی از سطح دندان را تراش میدهد تا فضا برای قرارگیری ونیر ایجاد شود.
- انتخاب رنگ دندانپزشک رنگ مناسب کامپوزیت را با توجه به رنگ دندانهای طبیعی شما انتخاب میکند.
- قرار دادن کامپوزیت دندانپزشک لایههای نازک کامپوزیت را روی دندان قرار میدهد و آنها را شکل میدهد.
- سخت کردن کامپوزیت با استفاده از نور مخصوص، کامپوزیت سخت میشود و به دندان متصل میگردد.
- صیقل دادن و پولیش دندانپزشک ونیرها را صیقل میدهد و پولیش میکند تا ظاهری طبیعی و زیبا داشته باشند.
کل فرآیند انجام ونیر کامپوزیت دندان معمولاً در یک جلسه انجام میشود و نیازی به مراجعه مکرر به دندانپزشکی نیست. با این حال، در برخی موارد، ممکن است نیاز به دو جلسه باشد.
بعد از انجام ونیر کامپوزیت دندان، ممکن است دندانهای شما کمی حساس شوند. این حساسیت معمولاً طی چند روز برطرف میشود. برای کاهش حساسیت، میتوانید از خمیر دندانهای ضد حساسیت استفاده کنید.
آیا میخواهید بلافاصله پس از کاشت ایمپلنت، لبخندی زیبا داشته باشید؟ در مطب ما، با ایمپلنتهای یک روزه و فوری، در همان جلسه درمان، لبخندی موقت یا حتی دائمی به شما هدیه میدهیم!
✅ بازیابی فوری زیبایی و عملکرد
✅ کاهش تعداد جلسات درمانی
✅ تجربه درمانی راحت و سریع
برای لبخندی فوری، با ۰۹۰۲۱۳۸۰۰۱۹ تماس بگیرید!
مراقبتهای بعد از ونیر کامپوزیت دندان

برای افزایش طول عمر ونیر کامپوزیت دندان، باید مراقبتهای ویژهای را رعایت کنید. این مراقبتها عبارتند از
- رعایت بهداشت دهان و دندان دندانهای خود را حداقل دو بار در روز مسواک بزنید و از نخ دندان استفاده کنید.
- اجتناب از مصرف مواد غذایی و نوشیدنیهای رنگی مصرف زیاد چای، قهوه، نوشابه و سایر مواد غذایی رنگی میتواند باعث تغییر رنگ ونیرها شود.
- اجتناب از جویدن مواد سخت از جویدن یخ، آجیل و سایر مواد سخت خودداری کنید، زیرا میتواند باعث شکستگی ونیرها شود.
- استفاده از محافظ دهان اگر عادت به دندان قروچه دارید، از محافظ دهان در هنگام خواب استفاده کنید.
- مراجعه منظم به دندانپزشک برای بررسی وضعیت ونیرها و انجام پولیش دورهای، به طور منظم به دندانپزشک مراجعه کنید.
با رعایت این مراقبتها، میتوانید طول عمر ونیر کامپوزیت دندان خود را افزایش دهید و از لبخندی زیبا و جذاب برای سالها لذت ببرید.
همچنین، مهم است که از خمیر دندانهای حاوی مواد ساینده قوی استفاده نکنید، زیرا این مواد میتوانند باعث خراشیدگی سطح ونیرها شوند. بهتر است از خمیر دندانهای مخصوص دندانهای کامپوزیتی استفاده کنید.
هزینه ونیر کامپوزیت دندان

هزینه ونیر کامپوزیت دندان به عوامل مختلفی بستگی دارد، از جمله
- تعداد دندانهای مورد نیاز هرچه تعداد دندانهایی که نیاز به ونیر دارند بیشتر باشد، هزینه کلی درمان نیز بیشتر خواهد بود.
- مهارت و تجربه دندانپزشک دندانپزشکان با تجربه و ماهر معمولاً هزینه بیشتری دریافت میکنند.
- مواد مورد استفاده استفاده از مواد با کیفیت بالاتر میتواند هزینه را افزایش دهد.
- موقعیت جغرافیایی هزینه درمانهای دندانپزشکی در شهرهای بزرگ معمولاً بیشتر از شهرهای کوچک است.
به طور کلی، هزینه ونیر کامپوزیت دندان در ایران میتواند از چند صد هزار تومان تا چند میلیون تومان برای هر دندان متغیر باشد. برای اطلاع دقیق از هزینه درمان، باید با دندانپزشک خود مشورت کنید.
در جدول زیر، تخمینی از هزینه ونیر کامپوزیت دندان در ایران ارائه شده است
| نوع ونیر | هزینه (تومان) |
|---|---|
| ونیر کامپوزیت معمولی | 500,000 – 1,500,000 |
| ونیر کامپوزیت نانو | 1,500,000 – 3,000,000 |
لازم به ذکر است که این ارقام تقریبی هستند و ممکن است با توجه به شرایط مختلف، متفاوت باشند. قبل از شروع درمان، حتماً با دندانپزشک خود در مورد هزینه نهایی صحبت کنید.
سوالات متداول درباره ونیر کامپوزیت دندان

در این بخش، به برخی از سوالات متداول در مورد ونیر کامپوزیت دندان پاسخ میدهیم
- آیا ونیر کامپوزیت دندان درد دارد؟ معمولاً انجام ونیر کامپوزیت دندان درد ندارد، اما ممکن است در طول فرآیند تراشیدن دندان، کمی احساس ناراحتی کنید.
- آیا ونیر کامپوزیت دندان نیاز به مراقبت خاصی دارد؟ بله، باید بهداشت دهان و دندان خود را به خوبی رعایت کنید و از مصرف مواد غذایی و نوشیدنیهای رنگی اجتناب کنید.
- ماندگاری ونیر کامپوزیت دندان چقدر است؟ ماندگاری ونیر کامپوزیت دندان معمولاً بین 5 تا 7 سال است.
- آیا ونیر کامپوزیت دندان قابل ترمیم است؟ بله، در صورت آسیب دیدن، ونیر کامپوزیت دندان به راحتی قابل ترمیم است.
- آیا ونیر کامپوزیت دندان برای همه مناسب است؟ ونیر کامپوزیت دندان برای افرادی که بهداشت دهان و دندان ضعیفی دارند یا عادت به دندان قروچه دارند، توصیه نمیشود.
اگر سوالات دیگری در مورد ونیر کامپوزیت دندان دارید، میتوانید با دندانپزشک خود مشورت کنید.
ونیر کامپوزیت دندان میتواند یک راه حل عالی برای بهبود ظاهر دندانها و داشتن لبخندی زیبا و جذاب باشد. با این حال، قبل از تصمیمگیری، باید با دندانپزشک خود مشورت کنید و تمام مزایا و معایب این روش را در نظر بگیرید.
نکات مهم در انتخاب دندانپزشک برای انجام ونیر کامپوزیت دندان

انتخاب یک دندانپزشک ماهر و با تجربه برای انجام ونیر کامپوزیت دندان بسیار مهم است. یک دندانپزشک خوب میتواند با استفاده از مواد با کیفیت و تکنیکهای صحیح، ونیرهایی زیبا و ماندگار برای شما ایجاد کند.
در هنگام انتخاب دندانپزشک، به نکات زیر توجه کنید
- تجربه و مهارت دندانپزشک اطمینان حاصل کنید که دندانپزشک تجربه کافی در زمینه انجام ونیر کامپوزیت دندان دارد.
- نمونه کارهای دندانپزشک از دندانپزشک بخواهید که نمونه کارهای خود را به شما نشان دهد.
- نظرات بیماران قبلی نظرات بیماران قبلی دندانپزشک را بررسی کنید.
- استفاده از مواد با کیفیت اطمینان حاصل کنید که دندانپزشک از مواد با کیفیت برای انجام ونیر کامپوزیت دندان استفاده میکند.
- تجهیزات دندانپزشکی مطمئن شوید که مطب دندانپزشکی دارای تجهیزات مدرن و پیشرفته است.
با انتخاب یک دندانپزشک خوب، میتوانید از نتیجه درمان راضی باشید و از لبخندی زیبا و جذاب برای سالها لذت ببرید.
به یاد داشته باشید که ونیر کامپوزیت دندان یک سرمایهگذاری برای زیبایی و اعتماد به نفس شماست. پس، در انتخاب دندانپزشک دقت کنید و بهترین گزینه را انتخاب نمایید.
آیا میدانستید لمینیت دندان میتواند معجزه کند؟ در مطب ما، با خدمات لمینیت دندان، عیوب ظاهری دندانهایتان را پوشانده و لبخندی هالیوودی و جذاب به شما میبخشیم.
✅ اصلاح رنگ، فرم و اندازه دندانها
✅ نتایج زیبا و طولانیمدت
✅ مشاوره تخصصی طراحی لبخند
با ۰۹۰۲۱۳۸۰۰۱۹ تماس بگیرید و زیبایی را تجربه کنید!
آینده ونیر کامپوزیت دندان

با پیشرفت تکنولوژی و مواد دندانپزشکی، ونیر کامپوزیت دندان نیز در حال تکامل است. در آینده، انتظار میرود که مواد کامپوزیتی با کیفیت بالاتری تولید شوند که ماندگاری بیشتری داشته باشند و کمتر تغییر رنگ دهند.
همچنین، تکنیکهای جدیدی برای انجام ونیر کامپوزیت دندان در حال توسعه هستند که باعث میشوند فرآیند درمان سریعتر و آسانتر شود. به عنوان مثال، استفاده از اسکنرهای دیجیتال و پرینترهای سه بعدی میتواند به دندانپزشکان کمک کند تا ونیرهایی دقیقتر و با کیفیتتر ایجاد کنند.
در آینده، ونیر کامپوزیت دندان به یکی از محبوبترین روشهای زیبایی دندان تبدیل خواهد شد و به افراد بیشتری کمک خواهد کرد تا لبخندی زیبا و جذاب داشته باشند.
برای داشتن اطلاعات بیشتر در این رابطه می توانید به سایت های معتبر در زمینه دندان پزشکی مراجعه نمایید و اطلاعات جامع تری کسب نمایید تا بتوانید تصمیمی درست در این خصوص بگیرید. ونیر کامپوزیت دندان در صورتی که به درستی انجام شود می تواند بسیار کارآمد باشد.
| سوال | جواب |
|---|---|
| ونیر کامپوزیت دندان چیست؟ | لایه نازکی از مواد کامپوزیتی است که روی سطح دندان قرار می گیرد تا ظاهر آن را بهبود بخشد. |
| چه کسانی می توانند از ونیر کامپوزیت دندان استفاده کنند؟ | افرادی که دندان هایشان تغییر رنگ داده، شکسته، ترک خورده یا فاصله دارد می توانند از این روش استفاده کنند. |
| آیا ونیر کامپوزیت دندان دائمی است؟ | خیر، ونیر کامپوزیت دندان دائمی نیست و نیاز به تعویض دارد. |
| ماندگاری ونیر کامپوزیت دندان چقدر است؟ | معمولاً بین 5 تا 7 سال است. |
| هزینه ونیر کامپوزیت دندان چقدر است؟ | هزینه به عوامل مختلفی بستگی دارد، اما معمولاً از لمینت سرامیکی ارزان تر است. |
| آیا ونیر کامپوزیت دندان درد دارد؟ | معمولاً درد ندارد، اما ممکن است کمی احساس ناراحتی کنید. |
| مراحل انجام ونیر کامپوزیت دندان چیست؟ | معاینه، آماده سازی دندان، انتخاب رنگ، قرار دادن کامپوزیت، سخت کردن کامپوزیت، صیقل دادن و پولیش. |
| چگونه می توان از ونیر کامپوزیت دندان مراقبت کرد؟ | رعایت بهداشت دهان و دندان، اجتناب از مصرف مواد غذایی رنگی، اجتناب از جویدن مواد سخت. |
| آیا ونیر کامپوزیت دندان قابل ترمیم است؟ | بله، در صورت آسیب دیدن قابل ترمیم است. |
| آیا ونیر کامپوزیت دندان برای همه مناسب است؟ | برای افرادی که بهداشت دهان و دندان ضعیفی دارند یا عادت به دندان قروچه دارند، توصیه نمی شود. |
و دیگر خدمات مجموعه مطب ما در حوزه دندانپزشکی
• پروتزهای ثابت متکی بر ایمپلنت (بریج)
• جراحی دندانهای اضافی (سوپرنومرری)
• اینله و آنله سرامیکی (Inlay & Onlay)
• درمان دندانهای شیری با پلفورماتیو
• ارتودنسی نامرئی (Clear Aligners)
و بیش از ده ها خدمات دیگر در زمینه زیبایی دندان
دندانپزشکی | ایمپلنت |لمینیت|عصب کشی
چرا بعضی کسب و کارها موفقترند؟ مطب ما با ارائه اطلاعات کلیدی، رازهای موفقیت را برای شما فاش میکند. ✅ الگوبرداری از بهترینها
✉️ info@matabma.com
📱 ۰۹۰۲۱۳۸۰۰۱۹
📞 ۰۲۱-۸۸۵۷۷۸۵۷
📍 تهران، شهرک غرب، بلوار شریفی، کوچه توحید چهارم، پلاک ۶۲، طبقه ۱

بدون نظر