کامپوزیت ونیر در سنین مختلف راهنمای جامع

✨کامپوزیت ونیر یک راه حل محبوب برای بهبود ظاهر دندان ها است، اما سوالی که اغلب مطرح می شود این است که آیا محدودیت سنی برای انجام آن وجود دارد؟ در این مقاله، به بررسی جامع این موضوع می پردازیم و اطلاعات کاملی را در اختیار شما قرار می دهیم تا بتوانید با آگاهی کامل تصمیم بگیرید. #زیبایی_دندان #کامپوزیت_ونیر #مطب_ما
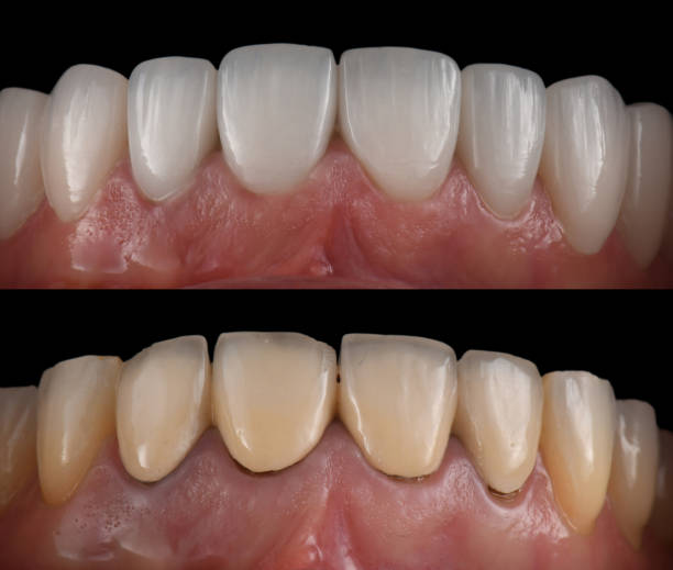
دندانپزشکی مدرن راهکارهای متعددی را برای بهبود #طراحی_وبسایت_موفق ارائه میدهد، از جمله کامپوزیت ونیر که به عنوان روشی کم تهاجمی برای اصلاح طرح لبخند شناخته میشود. این روش درمانی، با استفاده از مواد رزینی همرنگ دندان، امکان اصلاح رنگ، شکل و اندازه دندانها را فراهم میکند. با این حال، انتخاب مناسبترین روش درمانی نیازمند بررسی دقیق شرایط فردی و در نظر گرفتن عواملی مانند سن، سلامت دهان و دندان و انتظارات بیمار است.
در این مقاله، ما به بررسی این موضوع میپردازیم که آیا کامپوزیت ونیر برای همه سنین مناسب است یا خیر؟ چه ملاحظاتی باید در نظر گرفته شود و چه جایگزینهایی برای افراد با شرایط خاص وجود دارد؟ هدف ما ارائه یک راهنمای جامع است که به شما کمک کند تصمیمی آگاهانه در مورد بهبود طرح لبخند خود بگیرید.
کامپوزیت ونیر چیست و چه کاربردی دارد؟ ❓

کامپوزیت ونیر لایه نازکی از مواد رزینی است که روی سطح دندان قرار می گیرد تا ظاهر آن را بهبود بخشد. این روش برای اصلاح موارد زیر کاربرد دارد
- تغییر رنگ دندان ها
- اصلاح شکستگی ها و لب پر شدن دندان ها
- بستن فاصله بین دندان ها
- اصلاح شکل و اندازه دندان ها
مزایای کامپوزیت ونیر
- روش کم تهاجمی
- هزینه مناسب تر نسبت به سایر روش های زیبایی دندان
- امکان اصلاح طرح لبخند در یک جلسه
- قابلیت ترمیم و اصلاح
معایب کامپوزیت ونیر
- ماندگاری کمتر نسبت به لمینت دندان
- احتمال تغییر رنگ در صورت عدم رعایت بهداشت دهان و دندان
- نیاز به مهارت و تجربه دندانپزشک
کامپوزیت ونیر به عنوان یک راه حل سریع و موثر برای بهبود ظاهر دندان ها شناخته می شود. با این حال، برای انتخاب این روش، باید با دندانپزشک خود مشورت کرده و تمامی جوانب مثبت و منفی آن را در نظر بگیرید.
آیا میخواهید با تغییر رنگ دندانهایتان، ظاهر لبخندتان را متحول کنید؟ مطب ما با بلیچینگ دندان، راهکاری ایمن و سریع برای داشتن دندانهایی سفیدتر و جذابتر ارائه میدهد. لبخندی روشنتر در انتظار شماست.
✅ بلیچینگ تخصصی دندان در کمترین زمان
✅ لمینیت و ونیر برای پوشش نقایص
✅ ایمپلنتهای سوئیسی برای دوام طولانی
برای لبخندی درخشان، همین حالا با مطب ما تماس بگیرید: ۰۹۰۲۱۳۸۰۰۱۹
محدودیت سنی برای انجام کامپوزیت ونیر بررسی تخصصی 👨⚕️

به طور کلی، محدودیت سنی خاصی برای انجام کامپوزیت ونیر وجود ندارد. با این حال، برخی ملاحظات در سنین مختلف باید در نظر گرفته شود:
کودکان و نوجوانان
انجام کامپوزیت ونیر در کودکان و نوجوانان توصیه نمی شود، زیرا دندان های آنها هنوز در حال رشد هستند و ممکن است نیاز به تغییرات بعدی باشد. در این سنین، بهتر است از روش های جایگزین مانند ارتودنسی استفاده شود.
جوانان و بزرگسالان
این گروه سنی، مناسب ترین افراد برای انجام کامپوزیت ونیر هستند. دندان های آنها به طور کامل رشد کرده و سلامت دهان و دندان آنها معمولا در وضعیت خوبی قرار دارد.
سالمندان
در سالمندان، به دلیل افزایش احتمال تحلیل لثه و مشکلات مربوط به سلامت دهان و دندان، باید با احتیاط بیشتری کامپوزیت ونیر انجام شود. در این موارد، ممکن است نیاز به انجام درمان های پیشگیرانه قبل از انجام کامپوزیت ونیر باشد.
به طور خلاصه
اگر دندانها و لثههای سالمی دارید و به دنبال راهی برای بهبود ظاهر دندانهای خود هستید، کامپوزیت ونیر میتواند گزینه مناسبی برای شما باشد. با این حال، مشاوره با دندانپزشک برای بررسی شرایط فردی و تعیین مناسبترین روش درمانی ضروری است.
| گروه سنی | ملاحظات |
|---|---|
| کودکان و نوجوانان | توصیه نمی شود، به دلیل رشد دندان ها |
| جوانان و بزرگسالان | مناسب ترین گروه سنی |
| سالمندان | نیاز به احتیاط بیشتر و بررسی سلامت دهان و دندان |
چه عواملی در تعیین مناسب بودن کامپوزیت ونیر نقش دارند؟ 🤔

علاوه بر سن، عوامل دیگری نیز در تعیین مناسب بودن کامپوزیت ونیر نقش دارند:
- سلامت دهان و دندان: قبل از انجام کامپوزیت ونیر، باید از سلامت لثه ها و عدم وجود پوسیدگی دندان اطمینان حاصل شود.
- میزان آسیب دیدگی دندان ها: اگر دندان ها به شدت آسیب دیده باشند، کامپوزیت ونیر ممکن است گزینه مناسبی نباشد و نیاز به روش های درمانی دیگری مانند روکش دندان باشد.
- عادات دهانی: افرادی که عادت به دندان قروچه یا فشردن دندان ها دارند، ممکن است گزینه مناسبی برای کامپوزیت ونیر نباشند، زیرا این عادت ها می توانند باعث شکستگی یا آسیب دیدگی کامپوزیت شوند.
- انتظارات بیمار: قبل از انجام کامپوزیت ونیر، باید انتظارات خود را با دندانپزشک در میان بگذارید تا مطمئن شوید که این روش می تواند به شما در رسیدن به نتیجه دلخواه کمک کند.
در مطب ما، دندانپزشکان متخصص با بررسی دقیق شرایط شما، بهترین روش درمانی را برای بهبود طرح لبخند شما پیشنهاد می دهند. ما با استفاده از مواد با کیفیت و تکنیک های پیشرفته، به شما کمک می کنیم تا لبخندی زیبا و ماندگار داشته باشید.
کامپوزیت ونیر در مقابل سایر روش های زیبایی دندان مقایسه ای کامل ⚖️

کامپوزیت ونیر تنها روش برای بهبود ظاهر دندان ها نیست. روش های دیگری مانند لمینت دندان، روکش دندان و بلیچینگ نیز وجود دارند که هر کدام مزایا و معایب خاص خود را دارند.
لمینت دندان
لمینت دندان، پوسته های نازکی از جنس سرامیک هستند که روی سطح دندان قرار می گیرند. لمینت ها نسبت به کامپوزیت ونیر، ماندگاری بیشتری دارند و در برابر تغییر رنگ مقاوم تر هستند. با این حال، هزینه لمینت دندان بیشتر از کامپوزیت ونیر است.
روکش دندان
روکش دندان، پوشش کاملی است که روی دندان قرار می گیرد. روکش ها برای دندان هایی که به شدت آسیب دیده اند یا نیاز به ترمیم های گسترده دارند، مناسب هستند. روکش دندان، ساختار دندان را تقویت می کند و از آن در برابر آسیب های بیشتر محافظت می کند.
بلیچینگ
بلیچینگ یا سفید کردن دندان، روشی است که برای روشن کردن رنگ دندان ها استفاده می شود. بلیچینگ می تواند در مطب دندانپزشکی یا در خانه انجام شود. بلیچینگ معمولا برای افرادی که دندان های سالمی دارند و فقط می خواهند رنگ آنها را روشن تر کنند، مناسب است.
انتخاب بهترین روش زیبایی دندان، به شرایط فردی و انتظارات بیمار بستگی دارد. دندانپزشک می تواند با بررسی دقیق وضعیت دندان ها و لثه ها، بهترین روش را برای شما پیشنهاد دهد.
آیا درد مداوم دندان، آرامش شما را سلب کرده است؟ عصبکشی حرفهای در مطب ما، راه حلی قطعی برای از بین بردن عفونت و نجات دندانهای آسیبدیده شماست تا دیگر از درد رنج نبرید.
✅ انجام درمان با حداکثر دقت و ظرافت
✅ استفاده از فایلهای روتاری برای نتایج بهتر
✅ جلوگیری از گسترش عفونت به سایر دندانها
برای رهایی از درد دندان، همین امروز با شماره ۰۹۰۲۱۳۸۰۰۱۹ تماس بگیرید!
مراحل انجام کامپوزیت ونیر در مطب ما 🏥

در مطب ما، انجام کامپوزیت ونیر به صورت زیر انجام می شود
- معاینه و مشاوره: در این مرحله، دندانپزشک دندان ها و لثه های شما را معاینه می کند و در مورد انتظارات شما از درمان صحبت می کند.
- آماده سازی دندان ها: در برخی موارد، ممکن است نیاز باشد که دندان ها کمی تراشیده شوند تا برای قرارگیری کامپوزیت ونیر آماده شوند.
- انتخاب رنگ: دندانپزشک با استفاده از راهنمای رنگ، رنگ مناسب کامپوزیت ونیر را انتخاب می کند.
- قرار دادن کامپوزیت ونیر: دندانپزشک کامپوزیت ونیر را روی سطح دندان قرار می دهد و با استفاده از نور مخصوص، آن را سخت می کند.
- پرداخت و پولیش: در نهایت، دندانپزشک کامپوزیت ونیر را پرداخت و پولیش می کند تا ظاهری طبیعی و زیبا داشته باشد.
کل فرآیند انجام کامپوزیت ونیر معمولا در یک جلسه انجام می شود و نیازی به بی حسی ندارد. با این حال، در صورت نیاز، می توان از بی حسی موضعی استفاده کرد.
| مرحله | توضیحات |
|---|---|
| معاینه و مشاوره | بررسی وضعیت دندان ها و لثه ها و تعیین انتظارات بیمار |
| آماده سازی دندان ها | تراشیدن دندان ها در صورت نیاز |
| انتخاب رنگ | انتخاب رنگ مناسب کامپوزیت ونیر |
| قرار دادن کامپوزیت ونیر | قرار دادن کامپوزیت ونیر روی سطح دندان و سخت کردن آن با نور مخصوص |
| پرداخت و پولیش | پرداخت و پولیش کامپوزیت ونیر برای داشتن ظاهری طبیعی و زیبا |
مراقبت های بعد از کامپوزیت ونیر برای افزایش ماندگاری 🦷

برای افزایش ماندگاری کامپوزیت ونیر، رعایت نکات زیر ضروری است
- رعایت بهداشت دهان و دندان: مسواک زدن و نخ دندان کشیدن به طور منظم
- اجتناب از مصرف غذاها و نوشیدنی های رنگی: قهوه، چای، نوشابه و غیره
- اجتناب از عادات بد دهانی: دندان قروچه، جویدن ناخن و غیره
- مراجعه منظم به دندانپزشک: برای معاینه و بررسی وضعیت کامپوزیت ونیر
با رعایت این نکات، می توانید از کامپوزیت ونیر خود به خوبی مراقبت کرده و از زیبایی لبخند خود برای مدت طولانی تری لذت ببرید.
در مطب ما، پس از انجام کامپوزیت ونیر، دستورالعمل های لازم برای مراقبت از آن به شما ارائه می شود. ما همچنین به شما توصیه می کنیم که به طور منظم برای معاینه به مطب مراجعه کنید تا وضعیت کامپوزیت ونیر شما بررسی شود و در صورت نیاز، اقدامات لازم انجام شود.
همچنین، به خاطر داشته باشید که کامپوزیت ونیر دائمی نیست و ممکن است پس از مدتی نیاز به ترمیم یا تعویض داشته باشد. با این حال، با مراقبت صحیح، می توانید عمر آن را افزایش دهید.
هزینه کامپوزیت ونیر چقدر است؟ 💰

هزینه کامپوزیت ونیر به عوامل مختلفی بستگی دارد
- تعداد دندان هایی که نیاز به کامپوزیت ونیر دارند
- نوع مواد مورد استفاده
- مهارت و تجربه دندانپزشک
- موقعیت جغرافیایی مطب
برای اطلاع دقیق از هزینه کامپوزیت ونیر، می توانید با مطب ما تماس بگیرید و وقت مشاوره رزرو کنید. در جلسه مشاوره، دندانپزشک دندان های شما را معاینه می کند و پس از بررسی شرایط، هزینه دقیق را به شما اعلام می کند.
در مطب ما، تلاش می کنیم تا با ارائه خدمات با کیفیت و قیمت مناسب، رضایت شما را جلب کنیم. ما همچنین شرایط پرداخت اقساطی را برای رفاه حال شما فراهم کرده ایم.
به یاد داشته باشید که هزینه کامپوزیت ونیر، سرمایه گذاری برای زیبایی و سلامت دهان و دندان شما است. با داشتن لبخندی زیبا، اعتماد به نفس شما افزایش می یابد و کیفیت زندگی شما بهبود می یابد.
سوالات متداول در مورد کامپوزیت ونیر پرسش و پاسخ ❓

در این بخش، به برخی از سوالات متداول در مورد کامپوزیت ونیر پاسخ می دهیم
- آیا کامپوزیت ونیر درد دارد؟ انجام کامپوزیت ونیر معمولا بدون درد است.
- کامپوزیت ونیر چقدر ماندگاری دارد؟ ماندگاری کامپوزیت ونیر به عوامل مختلفی بستگی دارد، اما به طور متوسط بین 5 تا 10 سال است.
- آیا کامپوزیت ونیر نیاز به مراقبت خاصی دارد؟ بله، برای افزایش ماندگاری کامپوزیت ونیر، باید بهداشت دهان و دندان را به خوبی رعایت کنید و از مصرف غذاها و نوشیدنی های رنگی خودداری کنید.
- آیا کامپوزیت ونیر قابل ترمیم است؟ بله، در صورت آسیب دیدگی، کامپوزیت ونیر قابل ترمیم است.
اگر سوالات دیگری در مورد کامپوزیت ونیر دارید، می توانید با مطب ما تماس بگیرید و از دندانپزشکان متخصص ما مشاوره بگیرید.
ما در مطب ما، به شما کمک می کنیم تا با داشتن اطلاعات کامل، بهترین تصمیم را برای بهبود طرح لبخند خود بگیرید.
آیا از مراجعه به دندانپزشکی واهمه دارید؟ در مطب ما، با محیطی آرام و پرسنلی دلسوز، تجربهای متفاوت و بدون استرس از درمانهای دندانپزشکی خواهید داشت.
✅ رویکردی بیمارمحور و حمایتی
✅ استفاده از بیحسیهای موثر
✅ کاهش اضطراب دندانپزشکی
همین الان با ما تماس بگیرید و تجربهای متفاوت داشته باشید!
انتخاب مطب مناسب برای انجام کامپوزیت ونیر چرا مطب ما؟ 🤔

انتخاب مطب مناسب برای انجام کامپوزیت ونیر، اهمیت زیادی دارد. یک مطب خوب باید دارای ویژگی های زیر باشد
- دندانپزشکان متخصص و با تجربه
- استفاده از مواد با کیفیت
- تجهیزات پیشرفته
- رعایت بهداشت و استانداردهای ایمنی
- ارائه خدمات با قیمت مناسب
- داشتن محیطی آرام و دلپذیر
مطب ما، با داشتن تمامی این ویژگی ها، بهترین انتخاب برای انجام کامپوزیت ونیر است. ما با ارائه خدمات با کیفیت و قیمت مناسب، به شما کمک می کنیم تا لبخندی زیبا و ماندگار داشته باشید.
دندانپزشکان متخصص ما در زمینه های مختلف دندانپزشکی، از جمله ایمپلنت دندانی (ایمپلنت یک روزه و سریع، ایمپلنت سوئیسی)، جراحی دندان، خدمات عمومی دندانپزشکی (معاینه، تشخیص، ترمیم، جرم گیری)، عصب کشی (درمان ریشه)، لمینت دندان (قبل/بعد و توضیحات)، ونیر/کامپوزیت دندان، بلیچینگ (سفید کردن دندان) و ارتودنسی نامرئی، تجربه و مهارت بالایی دارند.
همچنین، ما در مطب ما از جدیدترین تکنولوژی ها و مواد با کیفیت استفاده می کنیم تا بهترین نتیجه را برای شما به ارمغان آوریم. برای رزرو وقت مشاوره، می توانید با ما تماس بگیرید یا به وب سایت ما مراجعه کنید.
انتظار شما از کامپوزیت ونیر چیست؟ آیا به دنبال اصلاح رنگ، شکل یا اندازه دندان های خود هستید؟ با در نظر گرفتن انتظارات خود و مشورت با دندانپزشک، می توانید بهترین تصمیم را برای بهبود طرح لبخند خود بگیرید. کامپوزیت ونیر به عنوان یک راه حل سریع، مقرون به صرفه و کم تهاجمی، می تواند به شما در رسیدن به لبخندی زیبا و جذاب کمک کند.
| سوال | پاسخ |
|---|---|
| آیا کامپوزیت ونیر برای همه مناسب است؟ | کامپوزیت ونیر برای افرادی که دندان های سالمی دارند و به دنبال بهبود ظاهر دندان های خود هستند، مناسب است. |
| چه مدت طول می کشد تا کامپوزیت ونیر انجام شود؟ | معمولا انجام کامپوزیت ونیر در یک جلسه انجام می شود. |
| آیا کامپوزیت ونیر باعث آسیب به دندان ها می شود؟ | در صورت انجام صحیح، کامپوزیت ونیر باعث آسیب به دندان ها نمی شود. |
| چگونه می توان از کامپوزیت ونیر مراقبت کرد؟ | با رعایت بهداشت دهان و دندان و اجتناب از عادات بد دهانی، می توان از کامپوزیت ونیر مراقبت کرد. |
| آیا کامپوزیت ونیر قابل ترمیم است؟ | بله، در صورت آسیب دیدگی، کامپوزیت ونیر قابل ترمیم است. |
| آیا کامپوزیت ونیر دائمی است؟ | کامپوزیت ونیر دائمی نیست و ممکن است پس از مدتی نیاز به ترمیم یا تعویض داشته باشد. |
| چه عواملی بر ماندگاری کامپوزیت ونیر تاثیر می گذارند؟ | بهداشت دهان و دندان، عادات دهانی، نوع مواد مورد استفاده و مهارت دندانپزشک بر ماندگاری کامپوزیت ونیر تاثیر می گذارند. |
| آیا کامپوزیت ونیر نیاز به تراشیدن دندان دارد؟ | در برخی موارد، ممکن است نیاز به تراشیدن کمی از دندان باشد. |
| هزینه کامپوزیت ونیر چقدر است؟ | هزینه کامپوزیت ونیر به عوامل مختلفی بستگی دارد. |
| چگونه می توان مطب مناسبی برای انجام کامپوزیت ونیر انتخاب کرد؟ | با بررسی ویژگی های یک مطب خوب و مشورت با دندانپزشکان متخصص، می توانید مطب مناسبی را انتخاب کنید. |
و دیگر خدمات مجموعه مطب ما در حوزه دندانپزشکی
• روکشهای موقت ایمپلنت
• جراحی برای آمادهسازی دهان قبل از پروتز
• درمان سایش دندان ناشی از براکسیسم
• لمینیت برای بستن فضای بین دندانها
• استفاده از بی حسی موضعی بدون درد
و بیش از ده ها خدمات دیگر در زمینه زیبایی دندان
دندانپزشکی | ایمپلنت |لمینیت|عصب کشی
مدیریت چندین شعبه مطب برایتان دشوار است؟
سیستمهای اطلاعاتی مطب ما، مدیریت یکپارچه چند شعبه را ممکن میسازد.
✅ نظارت مرکزی بر عملکردها.
✉️ info@matabma.com
📱 ۰۹۰۲۱۳۸۰۰۱۹
📞 ۰۲۱-۸۸۵۷۷۸۵۷
📍 تهران، شهرک غرب، بلوار شریفی، کوچه توحید چهارم، پلاک ۶۲، طبقه ۱

بدون نظر